
Eine Einrichtung der Landeszahnärztekammer Baden-Württemberg | Körperschaft des öffentlichen Rechts
Die Poliklinik der Akademie verfügt seit ihrer Gründung über ein Dentallabor. Somit ist die direkte Kommunikation zwischen Patient, Behandler und Zahntechniker bei uns schon immer selbstverständlich und ein wichtiger Maßstab für patientenorientierte Zahnmedizin.
Wir wollen mit unserer Arbeit auch den aufgeklärten Patienten zufriedenstellen und hohe Ansprüche in punkto Ästhetik, Funktion und Passgenauigkeit erfüllen. Service und Termintreue sind Grundbedingungen unserer Arbeit.
Das Labor arbeitet Hand in Hand mit den Zahnärztinnen und Zahnärzten der Poliklinik. Die Techniker lernen die Patienten kennen und sprechen mit ihnen über Wünsche und Besonderheiten. Jeder Auftrag wird individuell von einem/r Zahntechniker/in durchgeführt, der/die für Sie als Patient verantwortlich ist.
Das Labor ist auch Teil der Fortbildungsakademie und somit Gastgeber für zahntechnische Lehrer, die das Fach der Zahntechnik weiterentwickeln.
Jeder Patient, der in unserem Haus behandelt wird, kann von unseren Zahntechnikern individuell beraten werden und erfahren, welche zahntechnischen Lösungen es für sein Problem gibt.
Jeder Patient besitzt eine individuelle Zahnfarbe und Zahnform. Wir erklären ihnen, welche Form und welche Farbe mit Ihrem Gesicht, Ihrer Statur, Ihrer Restbezahnung harmoniert.
Genauigkeit geht vor. Das Mikroskop hilft bei der Perfektion im Detail.
Die moderne Zahntechnik verwendet den Computer in Verbindung mit bildgebenden Verfahren zur Herstellung höchst präzisen Zahnersatzes. Die Scanner tasten optisch oder taktil das Objekt ab. Der Zahnersatz wird virtuell am Bildschirm konstruiert und passgenau gefräst.
Die individuelle Schichtung oder das Aufstellen von Ersatzzähnen und die Kontrolle der Passung unter dem Mikroskop erfordert präzise Handarbeit.
Um die stetige Weiterentwicklung zu verfolgen und neue Techniken umzusetzen sind Fortbildungskurse unerlässlich. Modernste Techniken können so erprobt und eingesetzt werden.
Bei größeren Brücken sollte die Keramik durch ein stabiles Gerüstmaterial unterstützt werden. Hierfür eignen sich, neben Gold- auch Chrom-Kobalt-Legierungen, die hervorragende mechanische Eigenschaften und gute Mundverträglichkeit aufzuweisen haben.
Die Zähne werden nach kauphysiologischen und ästhetischen Gesichtspunkten aufgewachst, um sie ihrem ursprünglichen Zustand anzunähern. Die aufgewachsten Formen werden dann mit dem Keramik- bzw. Zirkon-Material hergestellt, das für die Funktionalität entsprechend geeignet ist.
Klebebrücken dienen als Ersatz beim Fehlen eines Zahnes. Der Ersatzzahn aus Zirkon wird mit einem Flügel versehen und mit einem Nachbarzahn verbunden.
Der Patient erhält konische Hülsen (Innenteleskope) auf den verbleibenden Zahnstümpfen. Darüber konstruiert der Techniker ein Brückengerüst (Außenteleskope), das durch die Haftkraft zwischen Innen- und Außenteleskop hält. Diese Brücke kann zur Reinigung herausgenommen werden.
Vorteil dieser Konstruktion: Auch wenn erneuter Zahnverlust eintritt, kann der Zahnersatz weiterverwendet werden.
Auf den Implantaten werden Aufbauelemente, die sog. Abutments verankert. Sie ähneln den natürlichen Zahnstümpfen. Auf diese Abutments konstruiert der Techniker die Brücke, die dann aus dem gewünschten Material gefräst wird.
Feste Zähne über Nacht. Das „All all on 4“-Konzept sieht vor, dass der Patient seine neuen Zähne erhält einen Tag nachdem die Implantate eingesetzt wurden. Nach dem Einbringen der Implantate lässt der Techniker über Nacht ein Gerüst anfertigen. Am nächsten Tag wird die Konstruktion fertiggestellt und vom behandelnden Zahnarzt eingesetzt.
Das Abutment ist die Verbindung zwischen Implantat und Zahnkrone. Diese Verbindung kann aus Keramik gestaltet werden und dadurch wirkt auch im Bereich des Zahnfleischrandes wie ein natürlicher Zahn bzw. ein natürlicher Zahnstumpf.
Dieses Teil der prothetischen Versorgung wird am Computer konstruiert.
Der gefräste weiße Zahnstumpf aus Zirkon im Bild. Er wird mit einer Basis verklebt, die im Implantat festgeschraubt wird.
Bei der Anprobe im Mund wird überprüft, ob die Dimensionen stimmen. Das Keramik-Autment ist kaum von einem natürlichen Zahnstumpf zu unterscheiden
Im letzten Schritt der Herstellung wird die Keramische Krone auf dem Modell hergestellt.
Krone auf dem Implantat - für das das Auge nicht erkennbar
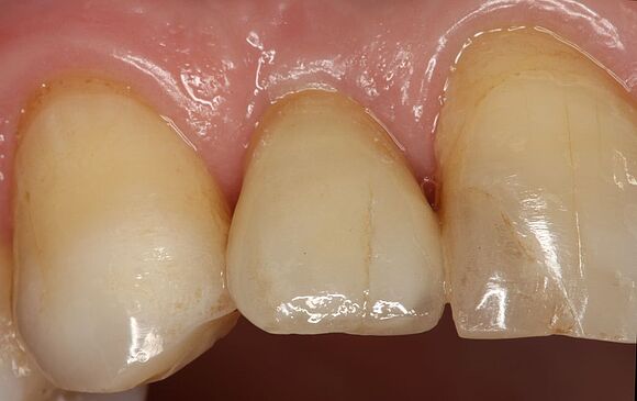
Die Krone im Mund fügt sich perfekt in das Gesamtbild ein. Auch der Zahnfleischrand wird durch das keramische Abutment natürlich.
Um Zähne in ihrer ursprünglichen Form wieder herzustellen, modelliert der Techniker mit speziellem Modellierwachs die Konturen. So lassen sich Ausmaß und Umfang der Rekonstruktion darstellen.
Auf den Zähnen sind "Keramik Onlays" befestigt. Die Zähne haben wieder ihre ursprüngliche Form und wirken ästhetisch überzeugend.
Jedes kieferorthopädische Gerät, das in unserer Poliklinik zum Einsatz kommt, wird von unseren spezialisierten kieferorthopädischen Technikerinnen angefertigt.
Bei Kindern, die zu früh ihre Milchzähne verlieren, werden spezielle Ersatzkonstruktionen angefertigt, um die Kaufunktion und die Ästhetik wiederherzustellen. Diese Anforderung bedarf einer besonderen Ausbildung.
Schienen können zur Regulierung von Zähnen dienen. Dabei werden Materialien mit unterschiedlicher Härte eingesetzt, um die Fehlstellungen sanft zu beheben. Auch bei Kiefergelenksschmerzen sind Aufbissschienen zur Entlastung des Kiefergelenks sehr hilfreich.