
Eine Einrichtung der Landeszahnärztekammer Baden-Württemberg | Körperschaft des öffentlichen Rechts
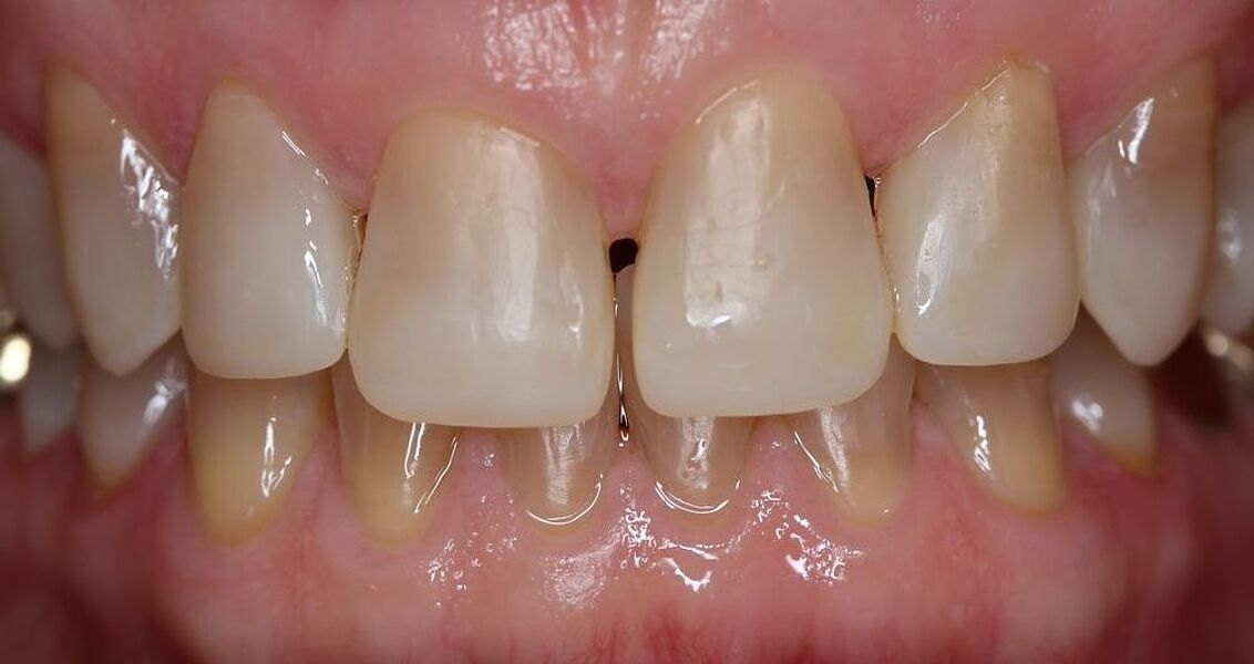
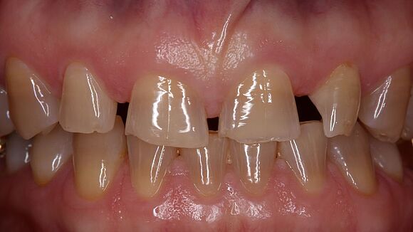
Ein sehr spezifischer Eingriff – eine große Veränderung
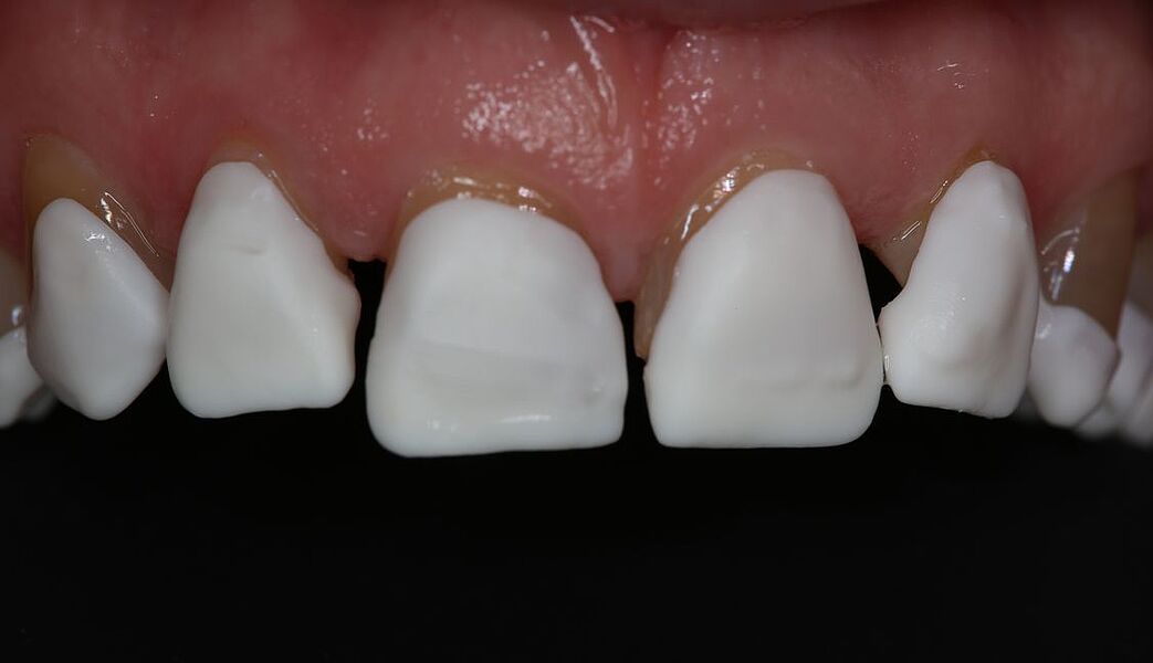
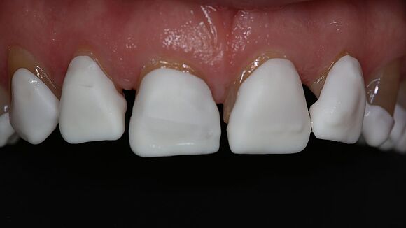
Dieselbe Patientin – ein Blick aus der Nähe. Die Probleme, die sich im Einzelfall darstellen sind immer individuell. Jeder Fall muss genau analysiert werden, um zu erschließen, was die Ursache der Beeinträchtigung ist.