
Eine Einrichtung der Landeszahnärztekammer Baden-Württemberg | Körperschaft des öffentlichen Rechts
Erkrankungen des Zahnhalteapparates, die Folgen und die mögliche Therapie
Der Zahnhalteapparat ist ein empfindliches Gewebe. Der Fachbegriff für ihn lautet "Parodont". Wenn er sich entzündet, so entsteht das Krankheitsbild einer Parodontitis. Die Ursache der Entzündung sind Bakterien, die sich im Spalt zwischen dem Zahn und dem umgebenden Gewebe (Zahnfleischtasche) in Richtung Wurzelspitze ausbreiten.
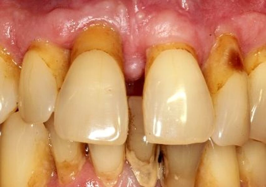
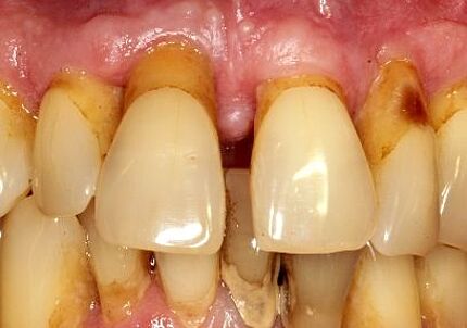
Zunächst einmal fällt fast gar nichts auf. Sie merken nur, dass das Zahnfleisch häufiger blutet. Ursache dafür ist die Entzündung.
Wenn die Entzündung voranschreitet, ziehen sich Knochen und Zahnhalteapparat langsam zurück. Schließlich wird die Zahnwurzel sichtbar, der Zahn wirkt "lang". Durch das Fortschreiten der Erkrankung wird der Zahn beweglich. Das Kauen und Abbeißen wird schwerer und kann mit Schmerzen verbunden sein. Auch die Stellung des Zahnes kann sich verändern. Schreitet die Krankheit ungehindert fort, kann es schließlich zum Zahnverlust kommen.
Zunächst einmal muss der Zahnarzt das Ausmaß der Erkrankung feststellen. Dazu misst er die Tiefe der Zahnfleischtasche. Gemessen wird die Distanz in Millimetern zwischen dem tiefsten Punkt der Zahnfleischtasche und dem Rand des Zahnfleisches. Der Zahnarzt stellt fest, ob es aus der Tasche blutet und fertigt ein Röntgenbild an. Auf dem Bild kann er einschätzen wie stark der Knochen bereits zurückgegangen ist. Die Therapie der Parodontitis besteht darin, den bakteriellen Belag auf der Wurzeloberfläche zu entfernen und dafür zu sorgen, dass er nicht wieder entsteht. Mit einer Ultraschallspitze wird der bakterielle Belag - und somit die Infektion - entfernt. In wiederholten Sitzungen (unterstützende Parodontitistherapie) wird durch regelmäßige, erneute Reinigung sichergestellt, dass sich der Therapieerfolg dauerhaft einstellt.
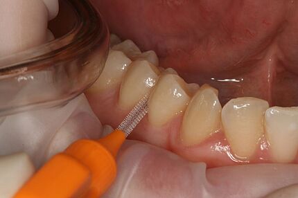
Wenn Ihr Zahnarzt bei Ihnen eine Parodontitis festgestellt hat, wird eine Therapie durchgeführt. Diese entfernt die Ursache der Krankheit, den bakteriellen Belag, sicher und dauerhaft. Zu Beginn der Behandlung steht die Diagnostik: eine spezielle parodontale Untersuchung und falls erforderlich die Anfertigung eines Röntgenbildes. Die Therapie beginnt mit einer professionellen Zahnreinigung. Der Zahnstein, der Belag und die Verfärbungen auf den Zahnoberflächen werden entfernt. Zusätzlich wird auf die tägliche Routine Ihrer individuellen Zahnpflege eingegangen und Sie lernen von unseren erfahrenen Zahnmedizinischen Fachassistentinnen, wie und womit diese optimiert werden kann. Die eigentliche "aktive" Behandlung besteht in der Entfernung des bakteriellen Belages auf der Wurzeloberfläche in der Zahnfleischtasche. Meist wird dies unter Lokalanästhesie mit einer Ultraschallspitze und speziellen Handinstrumenten durchgeführt.
Nach der Parodontitistherapie sollten Sie eine sehr sorgfältige Mundhygiene betreiben und regelmäßig Ihre Zähne vom Zahnarzt kontrollieren lassen. An einzelnen Stellen kann wieder eine Infektion auftreten, dann wird sofort gehandelt und der bakterielle Belag entfernt. Damit dies möglichst selten auftritt, ist die regelmäßige erneute Reinigung unter dem Zahnfleischrand unabdingbar. Dabei werden alle Zähne sorgfältig vom Belag befreit und die effiziente Mundhygiene geübt. Den notwendigen Intervall für Ihren Besuch bei der professionellen Zahnreinigung legt Ihr Behandler individuell anhand des Schweregrades Ihrer Zahnfleischerkrankung fest.