
Eine Einrichtung der Landeszahnärztekammer Baden-Württemberg | Körperschaft des öffentlichen Rechts
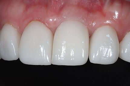
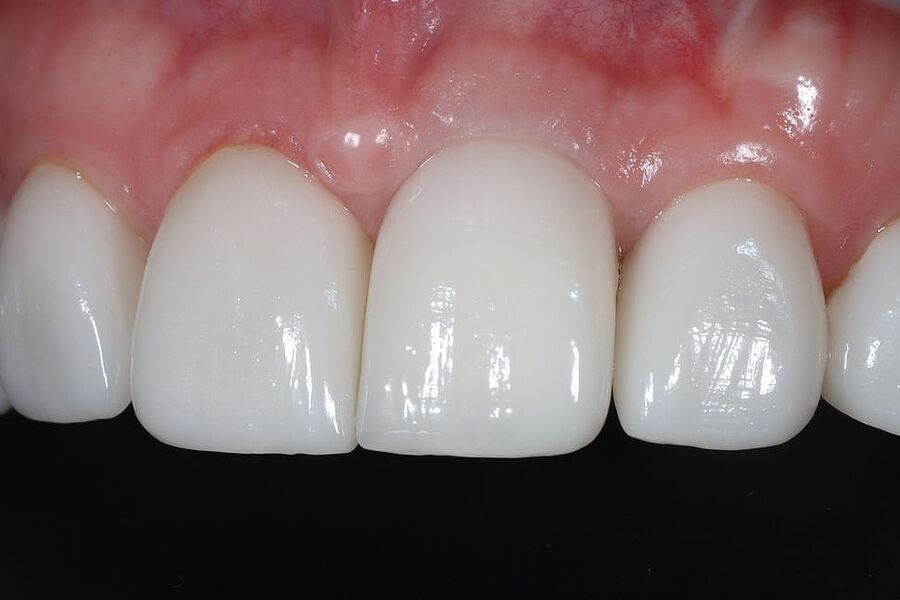
Im Journal Zahnmedizin up2date demonstrieren unsere Ästhetik-Spezialisten in einem weiteren Beitrag zum Thema professionelle Zahnaufhellung wie ein entsprechend angeleitetes At-Home-Bleaching funktioniert. Die entscheidende Vorbereitungsphase mit der Herstellung der Schienen und der adäquaten Instruktion des Patienten werden in dieser Publikation anhand eines Bildessays illustriert.
Zeitschrift: Zahnmedizin up2date
Ausgabe: 03/2023
Autoren: Dr. Helena Schmidt-Park,
Dr. Dr. Hans Ulrich Brauer, M.A., M.Sc.
Verwendung von autologem Dentin
In den letzten Jahren ist eine Zunahme des Interesses an Knochenaugmentationen mit nicht erhaltungs- würdigen Zähnen erkennbar. Das Verwerfen von extrahierten Zähnen ist zurzeit noch tägliche Routine in Zahnarztpraxen und Kliniken. Dieser Fallbericht illustriert die Situation eines 62-jährigen Patienten, bei dem nach Entfernung der Oberkieferfrontzähne der Alveolarfortsatz einen komplexen knöchernen Defekt aufwies. Die Schaltlücke wurde zweizeitig rekonstruiert. Hierbei wurde der knöcherne Defekt mittels der Tooth Shell Technique nach Korsch unter Verwendung von autologem Dentin rekonstruiert und mit zwei Implantaten sowie Implantatkronen prothetisch versorgt. Abschließend erfolgte eine Transplantation von freier keratini-sierter Schleimhaut zur Rekonstruktion des Vestibulums und zur Stabilisierung der periimplantären Mukosa.
Zeitschrift: ZWP-Online – Implantologie Journal
Ausgabe: 05/2023
Autoren: Prof. Dr. Michael Korsch, M.A.,
Dr. Abdel-Karim Mamar
https://www.zwp-online.info/publikationen/fachmagazine/implantologie-journal
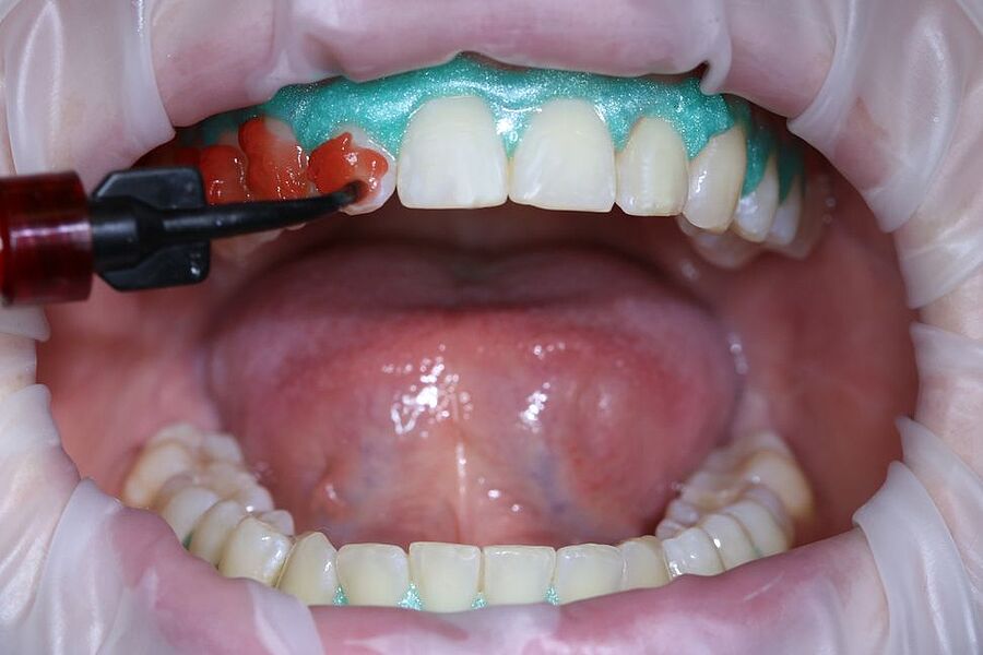
In der Ausgabe 02/2023 der Fachzeitschrift Zahnmedizin up2date berichten unsere beiden Ästhetik-Spezialisten wie ein professionelles In-Office-Bleaching vitaler Zähne funktionieren kann. Die hierzu nötigen Arbeitsschritte einschließlich der klinischen Voraussetzungen werden Schritt für Schritt anhand eines Bildessays illustriert.
Zeitschrift: Zahnmedizin up2date
Ausgabe: 02/2023
Autoren: Dr. Helena Schmidt-Park,
Dr. Dr. Hans Ulrich Brauer, M.A., M.Sc.
https://eref.thieme.de/ejournals
Nachhaltigkeit in die zahnärztliche Praxis zu integrieren, ist heute wichtiger denn je. Sowohl für Patienten als auch für Behandelnde ist es wichtig, sich auf eine nachhaltige, „resiliente“ Zahnmedizin verlassen zu können, die qualitativ hochwertig und zugänglich zugleich ist. Zudem sollte sie den Bedürfnissen unserer Umwelt gerecht werden. Die Zahnmedizin verursacht eine nicht unerhebliche Menge an „CO2 Äquivalenten“, die es in Zukunft zu verringern gilt. Der Beitrag rahmt das Thema in einem größeren Kontext, unterstreicht die Bedeutung für die Zahnärzteschaft und skizziert beiläufig den aktuellen Stand.
Zeitschrift: Zahnmedizin up2date
Ausgabe: 02/2023 S. 129 – 141
Autoren: Milena Hegenauer, Dr. Dr. Hans Ulrich Brauer, M.A., M.Sc., Kendra Bernhardt, B.A.,
PD Dr. Andreas Bartols, M.A., PD Dr. Daniel Hellmann
https://www.thieme.de/de/zahnmedizin-up2date/profil-11615.htm
Darüber berichten ausgewiesene Experten in einem lesenswerter Beitrag der aktuellen Ausgabe von „Die junge Zahnmedizin“. In der einleitenden Zusammenfassung heißt es: Die in der Zahnmedizin und Zahntechnik angewendeten Okklusionskonzepte stellen erdachte Ordnungsprinzipien mit therapeutischer Zielsetzung dar. Sie unterscheiden sich in der Regel deutlich von natürlichen okklusalen Beziehungen. Eingriffe in ein symptomfreies System stellen erhebliche Anforderungen an das äußert sensible Kauorgan. Bei notwendigen Rekonstruktionen von okklusalen Kontaktflächen sollte daher bei funktionsgesunden Patienten das bereits adaptierte Okklusionskonzept des Restgebisses sowie der adaptierte Funktionsraum des Unterkiefers übernommen werden. Denn nicht die Perfektion der zahntechnischen Ausführung von okklusalen Rekonstruktionskonzepten ist der Schlüssel zu einer gelungenen funktionellen Rehabilitation, sondern die enorme Adaptationsfähigkeit des Kauorgans, die insbesondere bei älteren Patienten erheblich eingeschränkt sein kann.
Zeitschrift: Die junge Zahnmedizin
Ausgabe: 01/2023, S. 30 – 34
Autoren: PD Dr. Daniel Hellmann, Prof. Dr. Alfons Hugger, Prof Dr. Hans J. Schindler
Erster Beitrag zu „Mundhygiene in der Pflege“ ist erschienen
Der seit vielen Jahren an der Akademie für Zahnärztliche Fortbildung Karlsruhe tätige Referent und Fortbildungspreisträger Dr. Elmar Ludwig aus Ulm hat auf Einladung von Dr. Dr. Hans Ulrich Brauer, M.A., M.Sc. einen informativen Beitrag im Fachjournal Zahnmedizin up2date publiziert. Der Hintergrund ist, dass im Herbst 2022 der neue Expertenstandard „Förderung der Mundgesundheit in der Pflege“ verabschiedet wurde und daher aktuell Zahnärzte und ihr Team als Experten für Mundgesundheit öfters um Rat gefragt werden. Der Beitrag stellt mit speziellen digitalen Pflegeszenen eine ganze Menge hilfreicher Informationen zur Verfügung.
Zeitschrift: Zahnmedizin up2date
Ausgabe: 06/2022, S. 465 - 468
Autor: Dr. Elmar Ludwig
Eine strukturierte Vorgehensweise in der Implantatnachsorge ist wichtig, um den chirurgischen Eingriff der Implantation klinisch abzusichern. Dr. Christopher Prechtl, der am Zentrum für Implantologie und Oralchirurgie Heidelberg und an der Akademie für Zahnärztliche Fortbildung Karlsruhe als Fachzahnarzt für Oralchirurgie tätig ist, weist in der Zeitschrift Die zahnärztliche Praxis den Weg, wie diese erfolgreich beschritten werden kann. Jede Menge praktische Tipps und Tricks machen diesen Beitrag so lesenswert.
Zeitschrift: Die zahnärztliche Praxis
Ausgabe: 11/12-2022, S. 13 - 21
Autor: Dr. Christopher Prechtl
Nach einem schweren Zahntrauma wie beispielsweise einer Avulsion besteht die Gefahr der Pulpanekrose und Wurzelresorption. Die drei Autoren beschreiben in der September-Ausgabe der Zeitschrift Oralprophylaxe & Kinderzahnheilkunde die Dekoronation bei einem Jugendlichen als einfache, aber effiziente Form der präimplantologischen Therapie. Sie liefern auch das Ergebnis nach 5 Jahren.
Zeitschrift: Oralprophylaxe & Kinderzahnheilkunde
Ausgabe: 9/2022
Autoren: Dr. Dr. Simone Ulbricht, M.A., Dr. Abdel-Karim Mamar, PD Dr. Andreas Bartols, M.A.
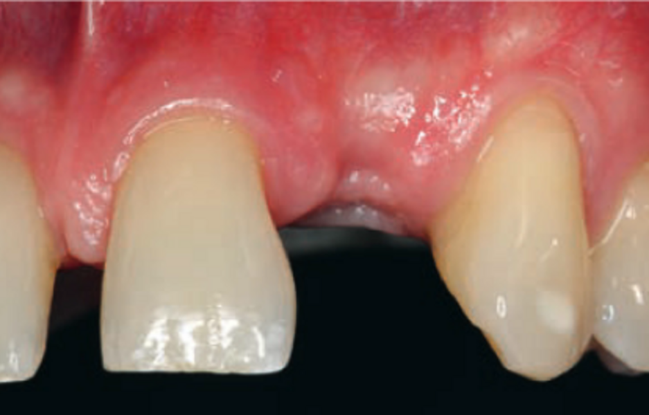
Ein eindrücklicher Case Report ist in der Quintessenz Zahnmedizin publiziert: Der Erhalt der ursprünglichen Gewebearchitektur in der ästhetischen Zone ist eine zentrale Herausforderung in der modernen, zahnärztlichen Implantologie. Wenn die Voraussetzungen für eine Sofortimplantation mit einer prothetischen Sofortversorgung gegeben sind, ist dies ein möglicher Weg die ursprüngliche Morphologie der Hart- und Weichgewebe weitgehend zu erhalten. Der vorliegende Beitrag definiert die Begriffe Sofortimplantation, Sofortversorgung sowie Sofortbelastung und illustriert einen klinischen Fall bei dem nach Fraktur eines Frontzahnes eine Sofortimplantation mit provisorischen Sofortversorgung realisiert werden konnte.
Zeitschrift: Quintessenz Zahnmedizin
Ausgabe: 11/2022, S. 1028 - 1036
Autoren: Dr. Christopher Prechtl, PD Dr. Daniel Hellmann, Dr. Dr. Hans Ulrich Brauer, M.A., M.Sc.
https://www.quintessence-publishing.com/deu/de/journal/quintessenz-zahnmedizin
Unser leitender Oberarzt hat für die gerade erschienene Ausgabe der Thieme-Zeitschrift Zahnmedizin up2date ein lesenswertes Editorial verfasst. Das Fachjournal widmet sich traditionell der Fortbildung des Zahnarztes in Praxis und Klinik.
Zeitschrift: Zahnmedizin up2date
Ausgabe: 03/2022, S. 215 - 216
Autor: Dr. Dr. Hans Ulrich Brauer, M.A., M.Sc.
https://www.thieme.de/de/zahnmedizin-up2date/profil-11615.htm
Wir haben eine Buchneuerscheinung unter die Lupe genommen. Die Rezension ist in der Springer-Zeitschrift der junge zahnarzt veröffentlicht. Der Antext der Buchbesprechung lautet wie folgt:
Es gibt neuen Lesestoff zum Thema Ernährung und Mundgesundheit: Im Quintessenz-Verlag ist ein Buch erschienen, das sich ausschließlich der Ernährungszahnmedizin widmet. Die beiden Herausgeber sind Prof. Dr. Johan Peter Wölber von der Klinik für Zahnerhaltungskunde und Parodontologie am Universitätsklinikum Freiburg und PD Dr. Christian Tennert, Oberarzt an der Klinik für Zahnerhaltung, Präventiv- und Kinderzahnmedizin der Universität Bern. Neben nationalen und internationalen Fachpublikationen zum Thema sind die Autoren mit dem populärwissenschaftlichen Buch „Die Ernährungs-Zahnbürste“ in Erscheinung getreten.
Zeitschrift: der junge zahnarzt
Ausgabe: 05/2022
Rezensent: Dr. Dr. Hans Ulrich Brauer, M.A., M.Sc.
Vom 15.-18. Juni 2022 fand in Kopenhagen/Dänemark einer der weltweit führenden Kongresse in der Parodontologie, die EuroPerio10, statt. Mit einer Posterpräsentation waren Frau Dr. Rahim-Wöstefeld aus Mannheim und Frau Prof. Pretzl von der Akademie für Zahnärztliche Fortbildung Karlsruhe vertreten. Gezeigt wurde ein eindrücklicher Behandlungsfall mit einer Patientin mit einer Parodontitis im Stadium IV und gleichzeitig gestörter Kaufunktion sowie tiefem Biss.
Poster: Präsentation auf der EuroPerio 2022 in Kopenhagen
Autoren: Dr. Sonja Rahim-Wöstefeld, Praxis Mannheim, Prof. Dr. Bernadette Pretzl, Akademie für Zahnärztliche Fortbildung Karlsruhe, beide vormals Universitätsklinikum Heidelberg
Eine neue Kasuistik zur Rehabilitation bei einer sehr komplexen Ausgangslage in der ästhetischen Zone ist in der Zeitschrift Implantologie des Quintessenz-Verlages erschienen. Als einzige deutschsprachige Zeitschrift aus dem zahnmedizinischen Bereich verfügt die Implantologie über einen kleinen Impact Factor. Konkret stellen die beteiligten Autoren in ihrem 13 Seiten umfassenden Case Report ein synoptisches Behandlungskonzept zur Rekonstruktion zu Verlust gegangener Hart- und Weichgewebe vor. Sie zeigen bei einer 31-jährigen Patientin die Umsetzung einer restaurativen Rehabilitation im anterioren Oberkiefer nach Zahnverlust und beidseitigen Nichtanlagen der seitlichen Schneidezähne.
Zeitschrift: Implantologie
Ausgabe: 02/2022, Seiten 203 – 215
Autoren: Dr. Eleftherios Grizas, Dr. Anna Gutbrodt, Dr. Julian Arnold, alle Dorow Clinic Lörrach, Dr. Dr. Hans Ulrich Brauer, M.A., M.Sc., Akademie für Zahnärztliche Fortbildung Karlsruhe
Ratgeber 2 – Gesundes Zahnfleisch bei Kinderwunsch und Schwangerschaft
Ratgeber 3 – Parodontale Nachsorge – die Unterstützende Parodontitistherapie
Ratgeber 4 – Implantate – Vorbeugung, Pflege, Erhalt
DG PARO
Autorin: Prof. Dr. Bernadette Pretzl u.a.
Freigabe zur Veröffentlichung erteilt durch Deutsche Gesellschaft für Parodontologie e. V. (DG PARO und CP GABA)
Der Fallbericht schildert die Situation eines SO-jährigen Patienten nach Zahnverlust regio 22. Die bukkale Knochenlamelle war infektionsbedingt weitestgehend resorbiert, wodurch sich die Notwendigkeit einer Augmentation im Zuge einer Implantation ergab. Da der Patient eine Knochenentnahme ablehnte, erfolgte eine laterale Kieferkammaugmentation mit autologem Dentin. Zum Einsatz kam dabei eine neue Methode: die sogenannte Tooth-shell-technique nach Korsch.
Zeitschrift: ZM – Zahnärztliche Mitteilungen
Ausgabe: 9/2022, Seiten 38 – 43
Autor: Prof. Dr. Michael Korsch, M.A.
Freigabe zur Veröffentlichung erteilt durch den Deutschen Ärzteverlag (Quelle: zm 112, Nr. 9, 1.5.2022)
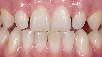
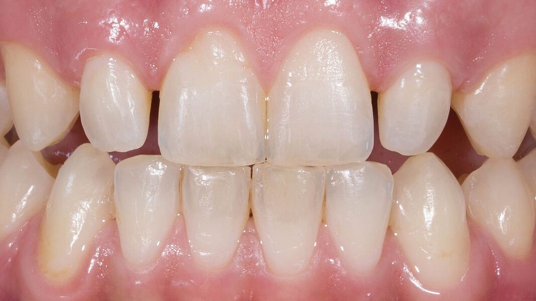
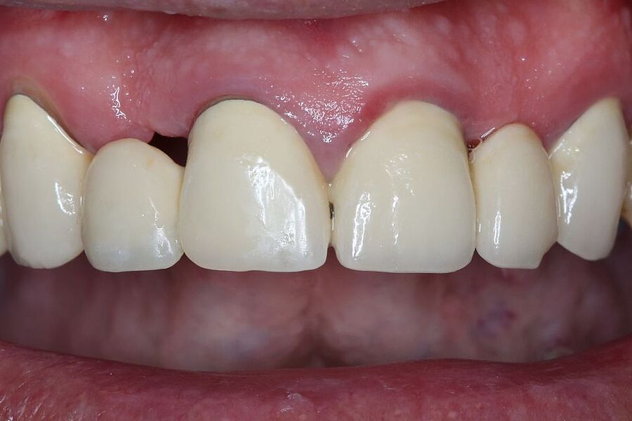
Was ist vertretbar, was nicht? Diesen Fragen gehen die drei Autoren dieses im Quintessenz Team-Journal publizierten Fachbeitrags nach. Den Hintergrund bildet, dass aktuell vermehrt Patientinnen und Patienten nach einer Zahnaufhellung nachfragen. Ein strahlend weißes Lächeln steht offensichtlich nicht nur für Gesundheit und Schönheit, sondern wird auch mit Erfolg verbunden. Dabei haben an dem derzeitigen Wunsch nach helleren Zähnen sicherlich die während der Coronapandemie häufig stattfindenden Videokonferenzen ihren Anteil, bei denen – sofern natürlich die Videokamera eingeschaltet ist – das Erscheinungsbild des Gesichts noch mehr in den Vordergrund rückt. Die Autoren zeigen anhand Bilderserien die Anwendungsmöglichkeiten der professionellen Zahnaufhellung, geben Hinweise zu Grenzbereichen und ziehen Grenzen. Klar ist: Richtig angewandt, ist die professionelle Zahnaufhellung ein sicheres und effektives Verfahren.
Zeitschrift: Quintessenz Team-Journal
Ausgabe: 04/2022, Seiten 170 – 175
Autoren: Dr. Dr. Hans Ulrich Brauer, M.A., M.Sc.,
DH Jule Unterberg, Dr. Firas Zoubi, M.Sc., M.Sc.
In der neuen Ausgabe der Fachzeitschrift Zahnmedizin up2date berichtet Dr. Dr. Brauer wie die Kompositinjektionstechnik funktioniert. Diese spezielle Technik ist bei deutlich verkürzter Behandlungszeit am Stuhl eine präzise und vorhersagbare Methode für die langzeitprovisorische Versorgung mit Kompositrestaurationen – beispielsweise zum Schluss bestehender Zahnlücken.
Zeitschrift: Zahnmedizin up2date
Ausgabe: 05/2022 Seiten, 395 – 397
Autor: Dr. Dr. Hans Ulrich Brauer, M.A., M.Sc.
In der aktuellen Ausgabe der Thieme-Zeitschrift Zahnmedizin up2date berichten zwei implantologisch tätige Mitarbeiter der Akademie für Zahnärztliche Fortbildung Karlsruhe zur Stabilität dentaler Implantate. Die Autoren ordnen die Möglichkeiten zur Beurteilung der Implantatstabilität den einzelnen Phasen der implantologischen Behandlung zu und veranschaulichen dies mit einem klinischen Fall.
Zeitschrift: Zahnmedizin up2date
Ausgabe: 01/2022, Seiten 9 – 14
Autoren: Dr. Christopher Prechtl
Dr. Dr. Hans Ulrich Brauer, M.A., M.Sc.
In der März-Ausgabe 2022 der Fachzeitschrift Quintessenz Zahnmedizin ist ein fachlich facettenreicher, wissenschaftlich geschriebener Fallbericht erschienen. Die Autoren beleuchten das Thema des vergrößerten Zungenkörpers (Makroglossie). Gelöst wurde dieser besondere Fall in unserer Poliklinik und Abteilung Oralchirurgie im Unterkiefer durch das implantatprothetische Versorgungskonzept All-on-4 und im Oberkiefer kam die bewährte Technik der gaumenfreien Gerüstkonstruktion bei der Doppelkronentechnik zur Anwendung.
Zeitschrift: Quintessenz Zahnmedizin
Ausgabe: 03/2022, Seiten 244 - 252
Autoren: Dr. Dr. Hans Ulrich Brauer, M.A., M.Sc.
Dr. Christopher Prechtl
https://www.quintessence-publishing.com/deu/de/journal/quintessenz-zahnmedizin
Die follikuläre Zyste ist nach der radikulären die zweithäufigste Zyste im Kieferbereich, jedoch in Abgrenzung zu letzterer nicht entzündlicher Genese. Aufgrund des symptomlosen Wachstums können follikuläre Zysten unbemerkt erhebliche Größen erreichen und werden meist als Zufallsbefund auf dentalen Röntgenaufnahmen entdeckt. Durch die stetige Volumenzunahme der follikulären Zyste können Verbindungen zur Mundhöhle entstehen, die eine Infektion begünstigen. Ihr verdrängendes Wachstum kann auch zur Verlagerung oder Beschädigung von Nachbarstrukturen wie Zähnen oder Nerven führen.
Zeitschrift: ZBW – Zahnärzteblatt Baden-Württemberg
Ausgabe: 01/2022, Seiten 38 – 40
Autoren: PD Dr. Michael Korsch, M.A., Dr. Christopher Prechtl
Die klinische Funktionsanalyse dient der Überprüfung des funktionellen Zustandes des kraniomandibulären Systems (KMS). Betrachtet man den in der Stellungnahme der Deutschen Gesellschaft für Funktionsdiagnostik und -therapie (DGFDT) ausgewiesenen Indikationsbereich für eine klinische Funktionsanalyse, fällt auf, dass diese nicht nur bei Verdacht auf eine kraniomandibuläre Dysfunktion (CMD), sondern auch im Vorfeld rekonstruktiver Maßnahmen oder jeder kieferorthopädischen Therapie empfohlen wird, um mögliche funktionelle Probleme aufzudecken. Grund genug für einen Basic-Beitrag zum Thema.
Zeitschrift: ZWR - Das Deutsche Zahnärzteblatt
Ausgabe: 12/2021
Autor: PD Dr. Daniel Hellmann
Die publizierte Anleitung zum funktionellen Kurzbefund hat viel Aufmerksamkeit erfahren und wurde vom Thieme-Verlag in der aktuellen Zahnmedizin up2date als SOP erneut abgedruckt.
Zeitschrift: Thieme-Verlag | Zahnmedizin up2date 2022
Ausgabe: 02/2022, Seiten 109 – 112
Autor: PD Dr. Daniel Hellmann
Vor 25 Jahren wurde von der Arbeitsgruppe Offenbacher et al. der potenzielle Zusammenhang zwischen mütterlicher Parodontitis und ungünstigen Schwangerschaftsoutcomes erstmals beschrieben. Inzwischen existieren eine Reihe wissenschaftlicher Arbeiten zum Thema. Ein Bericht aus unserem Haus in Zusammenarbeit mit der Abteilung gynäkologische Sonographie und Pränataldiagnostik der Universitäts-Frauenklinik Basel zeichnet diesbezüglich Studien nach, die in der Forschung der parodontalen Medizin als Meilensteine gelten.
Zeitschrift: ZMK
Ausgabe: 11/2021, Seiten 726 -730
Autoren: PD Dr. Gwendolin Manegold-Brauer
Dr. Dr. Hans Ulrich Brauer, M.A., M.Sc.
In dieser praktischen Handlungsanweisung stellt Dr. Jochen Klemke M.A., der seit vielen Jahren zum bewährten Referententeam der Akademie in Sachen Implantologie zählt, Übertragungsschlüssel für Implantatabutments vor. Diese Positionierungshilfen erleichtern den täglichen Workflow. Zudem gewährleisten diese eine Kontrolle der vertikalen Position, wenn Zähne als Auflage für die Schablonen dienen können.
Zeitschrift: ZWR - Das Deutsche Zahnärzteblatt
Ausgabe: 11/2021, Seiten 566 - 569
Autor: Dr. Jochen Klemke, M.A.
Bei der Therapie approximaler Defekte sollte so noninvasiv wie möglich vorgegangen werden. Durch die Methode der Kariesinfiltration steht ein Konzept ohne Zahnhartsubstanzverlust zur Verfügung. Die Infiltrationsmethode ist gut untersucht und deren Wirksamkeit klinisch belegt. Der Beitrag illustriert das konkrete Vorgehen Schritt für Schritt.
Zeitschrift: ZWR - Das Deutsche Zahnärzteblatt
Ausgabe: 10/2021, Seiten 506 - 508
Autorin: Dr. Anke Ruth Bräuning, M.A., M.Sc.
Augmentative Techniken zur knöchernen Rekonstruktion von dentoalveolären Defekten haben in der präimplantologischen Chirurgie eine besondere Bedeutung. Heute gelten autologe Knochentransplantate auf Grundlage biologischer und immunologischer Erkenntnisse als Goldstandard zur Wiederherstellung eines idealen Implantatlagers. Der vorliegende Artikel gibt einen Überblick über Rekonstruktionsmöglichkeiten durch Knochenblocktransplantationen in verschiedenen Defektklassen des Alveolarknochens. Darüber hinaus bietet dieser Beitrag eine Entscheidungshilfe für die Wahl einer adäquaten Therapieform bei Knochendefekten. In den hier beschriebenen Fällen wurde die Schalentechnik nach Khoury angewandt.
Zeitschrift: Quintessence Publishing Deutschland
Ausgabe: 09/2021, Seiten 99 – 108
Autoren: PD Dr. Michael Korsch, M.A., Dr. Abdel-Karim Mamar
Die Reparatur von Verblendungen an bestehenden Restaurationen hat sich zu einer substanzschonenden, schnell verfügbaren und kostengünstigen Alternative zur Erneuerung etabliert. Dies verlängert die Langlebigkeit einer Restauration und durch die deutlich geringere Invasivität auch die des Zahnes. In dem vorliegenden Beitrag wird das schrittweise Vorgehen schlüssig dargestellt.
Zeitschrift: ZWR - Das Deutsche Zahnärzteblatt
Ausgabe: 07-08/2021, Seiten 361 - 363
Autor: Marco Alexander Peichl, M.A.
Zeitschrift: Zahnmedizin up2date
Ausgabe: 01/2023, Seiten 13 - 15
Autor: Marco Alexander Peichl, M.A.
https://eref.thieme.de
Die Behandlung schwangerer und stillender Patientinnen ist herausfordernd. Ein Grund mehr für ein Basic, um hier ein Plus an Sicherheit bei der Wahl geeigneter Arzneimittel zu schaffen, wenn während der Schwangerschaft und Stillzeit eine Medikamentengabe erforderlich sein sollte.
Zeitschrift: ZWR - Das Deutsche Zahnärzteblatt
Ausgabe: 06/2021, Seiten 295 - 297
Autoren: Dr. Dr. Hans Ulrich Brauer, M.A.
PD Dr. Gwendolin Manegold-Brauer
Der informative Beitrag zur Medikamentengabe bei Schwangeren und Stillenden im Rahmen der zahnärztlichen Behandlung hat viel Aufmerksamkeit erfahren und wurde vom Thieme-Verlag in der Zahnmedizin up2date als SOP in aktualisierter Form erneut veröffentlicht.
Zeitschrift: Zahnmedizin up2date
Ausgabe: 03/2022, Seiten 223 - 225
Autor/-in: Dr. Dr. Hans Ulrich Brauer, M.A., M.Sc.
PD Dr. Gwendolin Manegold-Brauer
https://www.thieme.de/de/zahnmedizin-up2date
IDie Einheilung enossaler Implantate kann offen oder geschlossen erfolgen. Bei Fällen mit simultanem Knochenaufbau ist ein geschlossenes Vorgehen sinnvoll. Nach der Einheilphase erfolgt meist nach 3 Monaten die Implantatfreilegung. Der Kurzbeitrag skizziert die unterschiedlichen Vorgehensweisen und zeigt ein Fallbeispiel.
Zeitschrift: ZWR - Das Deutsche Zahnärzteblatt
Ausgabe: 04/2021, Seiten 173 - 174
Autor: Dr. Christopher Prechtl
Im Rahmen von dentalen Implantatversorgungen ergibt sich durch das Vorhandensein eines insuffizienten Implantatlagers häufig die Notwendigkeit von Augmentationen. Als Augmentationsmaterial stellt auto loger Knochen, insbesondere bei komplexen Augmentationen, nach wie vor den Goldstandard dar – intraoral steht dieses Material jedoch nicht unbegrenzt zur Verfügung. Um eine extraorale Knochenentnahme zu vermeiden, wurde im vorliegenden Fall eine Kombination von intraoral gewonnenen Knochenblöcken, autologem partikuliertem Knochen und einem xenogenen Knochenersatzmaterial eingesetzt.
Zeitschrift: ZM – Zahnärztliche Mitteilungen
Ausgabe: 3/2021, Seiten 54 – 59
Freigabe zur Veröffentlichung erteilt durch den Deutschen Ärzteverlag
Autoren: PD Dr. Michael Korsch, M.A., Dr. Christopher Prechtl
Im vorliegenden Fall wird über eine 62-jährige Patientin mit nicht erhaltungsfähiger Restbezahnung sowie ausgeprägter Oberkieferkammatrophie berichtet. Um eine gewünschte Sofortversorgung mit Sofortbelastung des Oberkiefers zu ermöglichen, wurden vier Zygoma-Implantate inseriert.
Zeitschrift: ZBW – Zahnärzteblatt Baden-Württemberg
Ausgabe: 12/2020, Seiten 32 – 35
Autoren: PD Dr. Michael Korsch, M.A., Dr. Abdel-Karim Mamar
In diesem Beitrag „Hätten Sie’s gewusst?“ zum Thema „Das Ante’sche Gesetz“ geben die beiden Autoren Auskunft zum Stand des Wissens betreffend der prothetischen Wertigkeit potenzieller Pfeilerzähne. Sie räumen mit diesem unter Zahnmedizinern allseits bekannten, aber fachlich veralteten Gesetz auf. Es hält einer evidenzbasierten Betrachtung nicht mehr stand.
Zeitschrift: ZWR - Das Deutsche Zahnärzteblatt
Ausgabe: 11/2020, Seite 572
Autoren: Dr. Andreas Bartols, M.A., Dr. Dr. Hans Ulrich Brauer, M.A.
Im vorliegenden Fall wird über eine 62-jährige Patientin mit starker Unterkieferatrophie im Seiten-zahnbereich berichtet. Nach erfolgreicher Kieferkammrekonstruktion mittels 3D-Blocktransplantaten aus dem Unterkiefer konnten Implantate inseriert werden. Abschließend erfolgte die prothetische Neuversorgung durch implantatgetragene Brücken.
Zeitschrift: ZBW – Zahnärzteblatt Baden-Württemberg
Ausgabe: 11/2019, Seiten 33 – 35
Autoren: PD Dr. Michael Korsch, M.A., Dr. Abdel-Karim Mamar
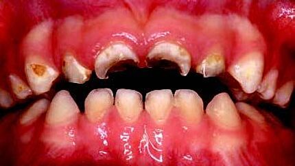
Ein 34-jähriger Patient hatte die häusliche Mundhygiene ohne erkennbare Gründe fast vollkommen eingestellt. Die daraus resultierende desolate orale Gesamtsituation war mit seinem äußeren Erscheinungsbild und seinem sozialen Status nicht vereinbar. Aufgrund dieser Widersprüche erfolgte eine intensive Abwägung der Therapieoptionen.
Zeitschrift: ZM – Zahnärztliche Mitteilungen
Ausgabe: 21/2019, Seiten 46 – 50
Freigabe zur Veröffentlichung erteilt durch den Deutschen Ärzteverlag
Autoren: PD Dr. Michael Korsch, M.A., Dr. Abdel-Karim Mamar
Karies im Milchgebiss stellt den allgemeintätigen Zahnarzt oft vor das Problem entscheiden zu müssen, welche Therapie für den Zahn die geeignetste ist. Häufig ist die gewählte Therapie nicht adäquat oder die kariöse Läsion bleibt unversorgt. Daraus können endodontische Beschwerden resultieren, die meist zu einer Extraktion des Milchzahns führen. Der Beitrag soll als Leitfaden dienen und helfen, aus der Menge der zur Verfügung stehenden Behandlungsoptionen die richtige Wahl für die Diagnostik sowie für eine adäquate Therapie zu treffen.
Zeitschrift: ZM – Zahnärztliche Mitteilungen
Ausgabe: 18/2019, Seiten 40 – 50
Freigabe zur Veröffentlichung erteilt durch den Deutschen Ärzteverlag
Autorin: Dr. Dr. Simone Ulbricht, M.A.
Die Zementierung von Zahnersatz auf Implantaten birgt das Risiko belassener Zementüberschüsse. Unklar war bisher der Einfluss der Zementart auf das periimplantäre Gewebe, den bakteriellen Biofilm und Entzündungen. Ausgehend von klinischen Beobachtungen hat die Akademie für Zahnärztliche Fortbildung Karlsruhe dazu Untersuchungen durchgeführt.
Zeitschrift: ZM – Zahnärztliche Mitteilungen
Ausgabe: 10/2019, Seiten 54 - 58
Freigabe zur Veröffentlichung erteilt durch den Deutschen Ärzteverlag
Autor: PD Dr. Michael Korsch, M.A.
Im vorliegenden Fall wird das Vorgehen bei der Versorgung mit einer herausnehmbaren Hybridversorgung auf Zähnen und Implantaten dargestellt. Aufgrund eines stark reduzierten Restzahngebisses im Oberkiefer konnte der Patientenwunsch nach einem konventionellen gaumenfreien Zahnersatz mit ausreichendem Prothesenhalt nicht erfüllt werden. Durch eine Pfeilervermehrung mit Implantaten konnte letztendlich der Patientenwunsch doch realisiert werden.
Zeitschrift: Zahnärzteblatt Baden-Württemberg (ZBW)
Ausgabe: 2/2019, Seiten 28 - 31
Autoren: PD Dr. Michael Korsch, M.A., Dr. Christopher Prechtl