
Eine Einrichtung der Landeszahnärztekammer Baden-Württemberg | Körperschaft des öffentlichen Rechts
Zähne ersetzen, ohne bestehende Zähne zu belasten.
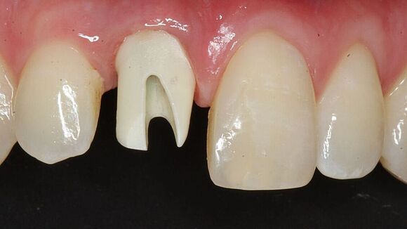
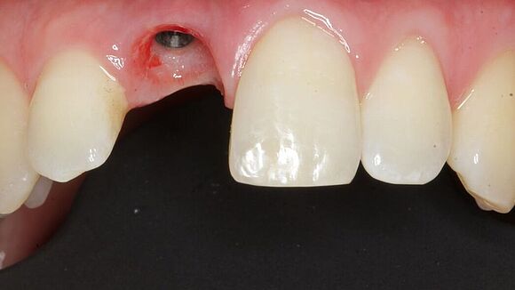
Derselbe Patient wie im Bild oben bevor die Krone befestigt wurde. Man sieht hier das „Abutment“, das Verbindungsteil zwischen dem Implantat – das fest in den Knochen eingewachsen ist – und der Zahnkrone. Damit die Farbe der Krone natürlich wirkt, wurde ein Abutment aus Keramik gewählt. Vorher war hier eine häßliche Zahnlücke, die den Patienten zwang, eine Prothese zu tragen.
Am Glasmodell ist erkennbar, wie das Problem gelöst wurde. Im Knochen sitzen die Implantate – hier zur Befestigung einer kleinen Bücke. Es handelt sich um kleine Zylinder aus Titan, die dank einer speziellen Oberfläche fest in den Knochen einwachsen können. Sobald sie belastbar sind, kann der Zahnersatz angefertigt werden.
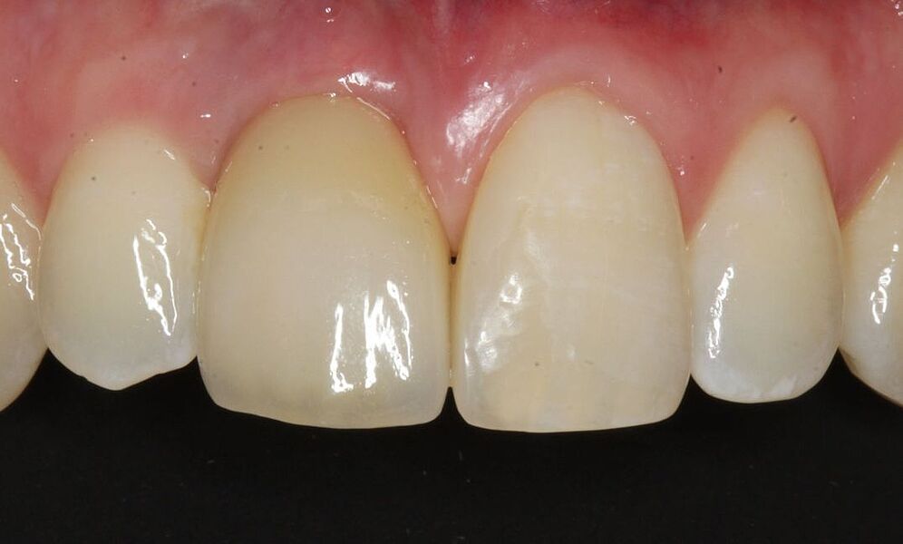
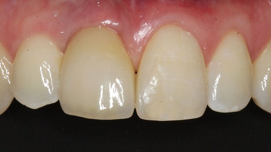
Zahnärztliche Implantate sind bei fast jedem Patienten möglich. Auch alte Menschen können ohne Probleme mit ihnen versorgt werden. Der Aufwand für eine entsprechende Versorgung unterscheidet sich von Fall zu Fall stark Er ist davon abhängig, wie viele Zähne ersetzt werden müssen, ob genügend Knochen vorhanden ist oder ob das Implantatbett durch spezielle Maßnahmen vorbereitert werden muss. Damit Sie erfahren wie es in Ihrem Fall steht, erhalten Sie in der Akademie immer ein sehr ausführliches Aufklärungsgespräch. Bei unserem Beispielpatienten war es möglich, das Implantat sofort zu belasten und ihn mit einer provisorischen Krone zu versorgen. Die Zahnlücke – die hier zu sehen ist – war also sofort nach dem Einsetzen des Implantates verschwunden.