
Eine Einrichtung der Landeszahnärztekammer Baden-Württemberg | Körperschaft des öffentlichen Rechts
Kinder verdienen besondere Sorgfalt
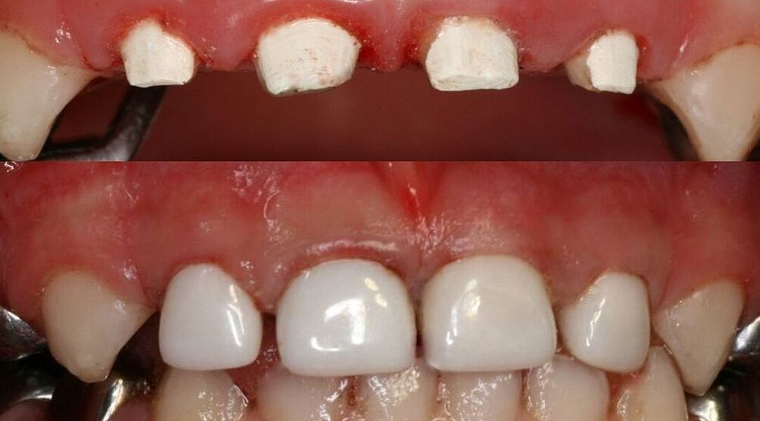
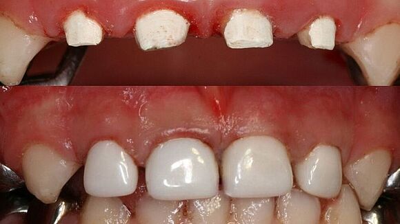
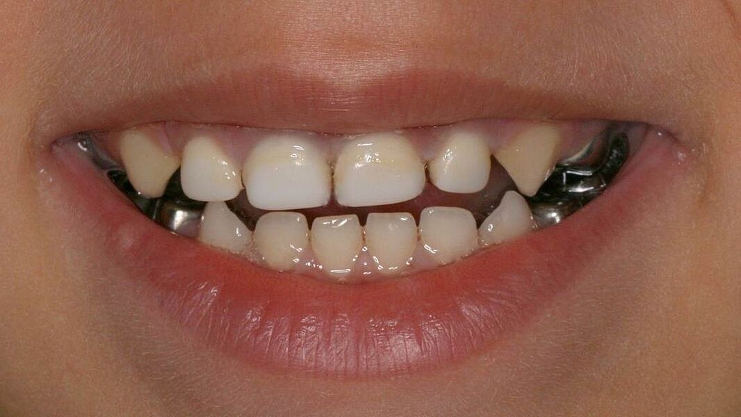
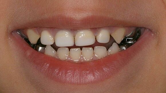
Dieses Milchgebiss wurde fachgerecht saniert. Die Karies ist verschwunden. Die Milchzähne werden erhalten, bis sie von den bleibenden Zähnen ersetzt werden. Dafür wurden auch Milchzahnkronen eingesetzt. Jetzt sind beste Bedingungen für eine effiziente Prophylaxe gegeben.
In der Akademie stellt die Kinderzahnheilkunde einen besonderen Schwerpunkt dar. Für Kinder steht eine besondere Ausrüstung und ein besonderes Behandlungsprogramm zur Verfügung. Dazu gehören auch spezielle Sitzkissen, die die Behandlung angenehmer machen.